The all singing all dancing set
Patient 1 | Patient 2 | Patient 3 | Patient 4
The 'all singing, all dancing set' (could even fool me into believing they're real).
Dislikes
- Hollywood smiles
- Neon white false teeth
- Pet hate – Hollywood smiles
Note:
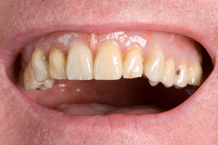
I gathered quickly this patient did not want a `Hollywood smile`, “good `cause I don’t do those” I said, and then focused on what in fact he did want. Patient four requested that the appearance was to be as natural as possible, gold fillings, chips in teeth, fracture lines in crowns, gaps and even a bit of gum disease!!
The result...
Click to view a larger image
Our Comments
This really is one end of the spectrum in what can be achieved and the most enjoyable, (the other being what I call 'The English Rose' - A simple, pleasant, clean appearance that only really suits, and is commonly requested by the more mature female).
We were delighted with this result during speech, laughter etc. and in these cases I satisfy my own critical opinion, judgement and standards, in that if I hadn’t known I’d made the dentures, I too would never of been able to tell that `patient four` was wearing upper and lower appliances.
We are very grateful to Patient Four for his kind words and allowing us to use these photos.
Also thanks to Dr. Wendy Cole for her clinical expertise.
Patient Comments
"I now have a smile that looks exactly as it should. The smile of an almost 60 year old man who has seen a great deal of life, and waved the toothbrush at them twice a day."
"From my very first contact with both Mark and Wendy, not only did they both instantly dispel every fear that I had, but they worked closely together to ensure that nothing was left to chance, and the words ‘Totally Pain Free’ really did mean that."
"For anybody in my position who is even contemplating what I have had done, but too frightened to take the initial step, my only advice is DO IT NOW, and give Mark a ring."






